Τρισδιάστατο Υπερηχογράφημα 3D και 4D στη Σύγχρονη Μαιευτική και Γυναικολογία
Η τρισδιάστατη – τετρασδιάστατη (3D – 4D) υπερηχογραφία αποτελεί ένα νέο τεχνολογικό επίτευγμα που ανοίγει νέους ορίζοντες στη διαγνωστική υπερηχογραφία.
Το μεγαλύτερο πλεονέκτημα της τρισδιάστατης υπερηχογραφίας είναι ότι μας δίνει την ευχαρίστηση να δούμε :
⦁ πιο «πραγματικές» εικόνες του εμβρύου στο φυσικό του περιβάλλον
⦁ και τη φυσιολογική ανατομία της μήτρας και πιθανή παθολογία της
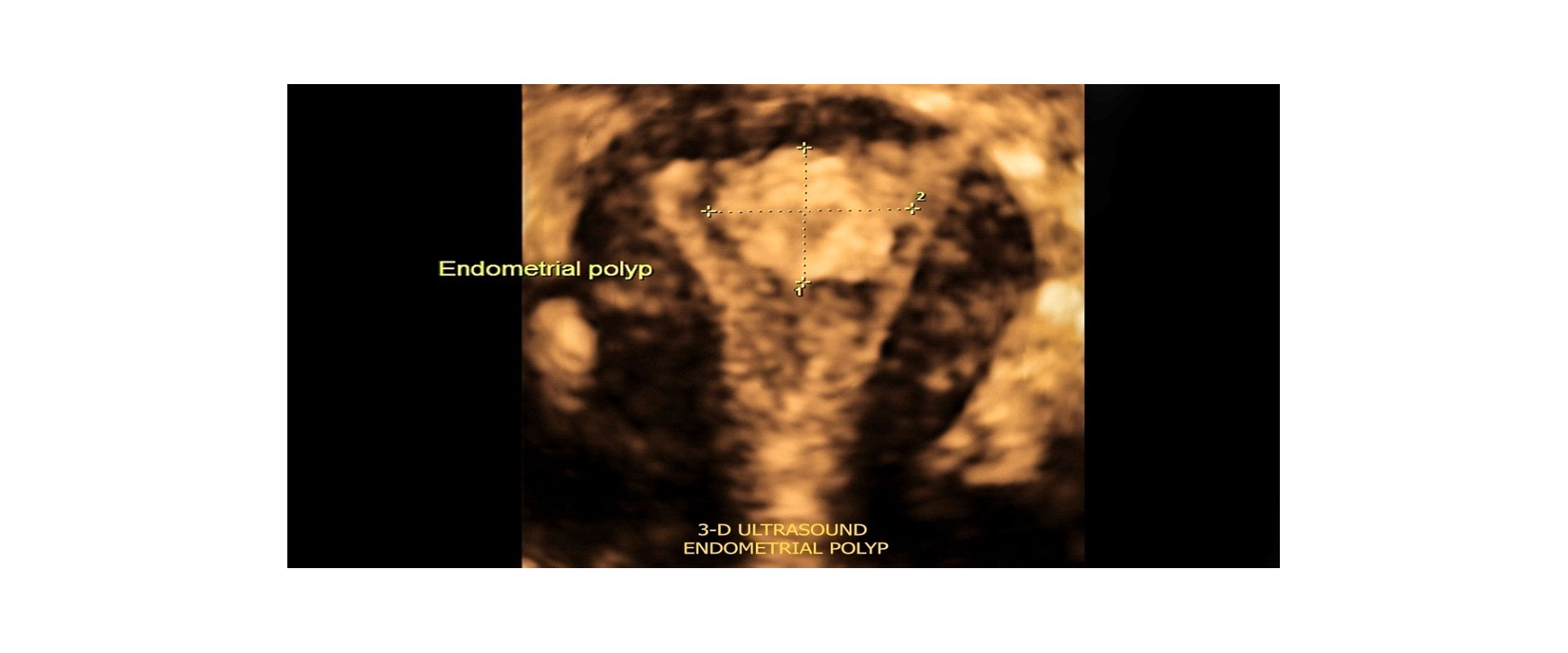
Στο ιατρείο μας χρησιμοποιούμε μηχάνημα υπερήχων τελευταίας τεχνολογίας έτσι ώστε να έχουμε ακίνητη τρισδιάστατη απεικόνιση του εμβρύου (3D) και της μήτρας ή να βλέπουμε το έμβρυο τρισδιάστατο όπως κινείται σε πραγματικό χρόνο – real time (4D).


Οφέλη της 3D-4D Υπερηχογραφίας
✓ Ακριβής Διάγνωση: Εξαιρετική ευκρίνεια εικόνων για τη διάγνωση γυναικολογικών προβλημάτων.


✓Εκτίμηση Ανατομίας: Βελτιωμένη ανάλυση της ανατομίας των γυναικείων αναπαραγωγικών οργάνων.




✓ Παρακολούθηση Εγκυμοσύνης: Λεπτομερείς εικόνες του εμβρύου για την αξιολόγηση της ανάπτυξης και της υγείας του και συμπληρωματική ανίχνευση ανωμαλιών σε συνδιασμό με το 2D υπερηχογράφημα.
Η συνηθισμένη δισδιάστατη 2D υπερηχογραφική εικόνα μας δίνει τις πιο σημαντικές πληροφορίες για το έμβρυο. Σε κάποιες σπάνιες ανωμαλίες το τρισδιάστατο υπερηχογράφημα μπορεί να μας βοηθήσει να δούμε καλύτερα ορισμένα όργανα, ωστόσο είναι το δισδιάστατο υπερηχογράφημα που βασικά θα μας κατευθύνει στη διάγνωσή μας. Έτσι, πιθανόν και να αυξάνεται η ακρίβεια της διάγνωσης, και παράλληλα, γίνεται πιο κατανοητή και από τους γονείς.




Πότε μπορεί να γίνει το υπερηχογράφημα;


⦁ Ένα υπερηχογράφημα 3D/ 4D μπορεί να πραγματοποιηθεί οποιαδήποτε στιγμή της εγκυμοσύνης αρκεί η θέση του μωρού να είναι ευνοϊκή. Είναι σύνηθες να εκτελείται μεταξύ 20ης – 34ης εβδομάδας της κύησης. Τα καλύτερα αποτελέσματα λαμβάνονται αν το υπερηχογράφημα πραγματοποιηθεί μεταξύ 27ης – 32ης εβδομάδας γιατί τότε η αναλογία διαστάσεων του μωρού προς την ποσότητα του αμνιακού υγρού είναι η καταλληλότερη.


⦁ Στη γυναικολογία πραγματοποιείται οποιαδήποτε στιγμή


